Skip to main content
logo

Kultúrna vojna

harvard-professor-700x438.jpg
Profesor z Harvardu: Nadprirodzená vízia Panny Márie ma priviedla ku Katolicizmu
THF4yMQsUBCJBMdyYez3Kc-1200-80.png
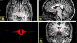
Štúdia: Antikoncepčná tabletka môže umenšovať určité mozgové oblasti u žien
Cardinal Zen
Kardinál Zen: Pápež podporuje schizmu legitimizáciou čínskej cirkvi riadenej komunistami
donaldtrump122.png
Dodržaný sľub: Trump vymenoval 169 konzervatívnych sudcov na federálne súdy
original.jpg
Čína vyžaduje identifikáciu tváre pre internetové a mobilné služby
Bishop_Fulton_J._Sheen_1956_(1)_810_500_75_s_c1.jpg
Americký arcibiskup Fulton Sheen bude v decembri blahorečený
20190930T0827-30602-CNS-MEXICO-CITY-NEW-DIOCESES.jpg
V Mexiku tisíce ľudí obnovujú zasvätenie Kristovi Kráľovi
DemonicArtSouthAfrica_810_500_75_s_c1.jpg
Prepukli spory ohľadne "démonického" umenia na kresťanskej škole v Južnej Afrike
web3-marriage-couple-love-church-shutterstock.jpg
Štúdia: Pravidlá stredovekého katolicizmu voči incestu formovali západnú kultúru
Celtic_cross_Credit_Chris_Ison_Shutterstock_CNA.jpg
Írsky karmelitánsky kláštor zničený za bieleho dňa - miestni obyvatelia sú šokovaní

Pagination

  • Previous page ‹‹
  • Next page ››
Subscribe to Kultúrna vojna